Invisalign® – Queen Creek, AZ
Clear, Removable Aligners for Straightening Teeth
Traditional braces aren’t right for everyone. Many adults and older teenagers would rather not deal with uncomfortable, unsightly metal brackets and wires that sometimes remain in the mouth for up to three years. With Invisalign® clear aligners, Dr. Jafari and Dr. Ferreira can offer patients an orthodontic treatment that won’t be easily noticed by others and won’t get in the way of meals and regular cleanings. Call Queen Creek Complete Dental today to learn more and take the first steps towards a beautiful grin.
Why Choose Queen Creek Complete Dental for Invisalign®?
- Customized Treatments
- Improved Aesthetics
- Convenient Removable Aligners
How Invisalign Works
After taking a 3D scan of your teeth, Dr. Jafari or Dr. Ferreira will develop a treatment plan, and an appropriate number of clear plastic aligners are made. The first aligner will be worn for at least 20 to 22 hours every day over the course of about two weeks; then you’ll start using the next aligner in the series, and the process will repeat until your teeth have reached their ideal position. Checkup appointments are needed every six weeks or so in order to confirm that the treatment is proceeding as planned; there are situations where you may need to continue wearing your current aligner for longer than originally thought.
Indications for Invisalign
Using Invisalign isn’t just about improving your appearance; it’s about solving certain orthodontic issues such as the ones listed below.
Crowded Teeth
Adjusting your teeth with Invisalign can give them the space they need to line up properly, making it easier to reach every surface of the enamel with a toothbrush or dental floss.
Spaces Between Teeth
Are you worried about the gaps in your smile? You’ll be able to close them with Invisalign, which will also prevent food particles from getting caught in these spaces.
Bite Alignment
Overbite, underbite, and crossbite can all lead to jaw pain and worn-down teeth. You can correct your bite with Invisalign depending on the severity of the problem.
Benefits of Invisalign Orthodontics
- Shorter Treatment Time: The exact length of any orthodontic treatment depends on the patient, but Invisalign tends to work faster than traditional methods. While braces may need to be worn for 24 to 36 months, Invisalign treatment can be completed in about a year.
- Improved Appearance: Eyes will be drawn to your braces whenever you speak, chew, or smile. But if you have Invisalign aligners instead, most people won’t even realize you have an orthodontic appliance.
- Comfort: The smooth plastic surface of Invisalign is gentle on the gums and the other soft tissues in your mouth, so you won’t experience the irritation that metal brackets and wires cause.
- Convenience: Your aligners can be removed whenever you eat or brush your teeth; no need to make major changes to your diet or your oral hygiene routine!
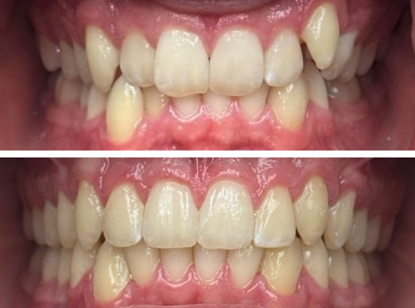
Incredible Invisalign Transformations: Before & After Treatment
Cost of Invisalign
The price of your Invisalign treatment depends on the number of aligners you receive – and that in turn can vary based on what kind of corrections you need as well as your own compliance and your age. Dr. Jafari and Dr. Ferreira can help you figure out the most precise cost possible during a consultation.








